Uncategorised
Today….
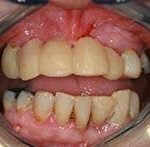
“Today my All-on-4 treatment is complete!! I am so pleased with my smile. Jag and the team have been wonderful and if I can help anyone who is thinking about this treatment I shall be happy to help” Sally x… Read more
Uncategorised
Mr Shergill is amazing!
“Mr Shergill is amazing, made me fully aware of the procedures he was about to undertake. I thank all the team for their part in my personal care & well being. If you are worrying about your dental care please, … Read more
Uncategorised
3 Reasons……
Three reasons to have dental implants – as explained by one of our patients, Linda.
” Having implants has really changed my life.
1. I smile more.
2. Going out for meals.
3. My diet has changed for the better, … Read more
Uncategorised
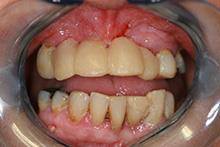
A lovely testimonial from an All-on-4 patient from last week :-)
“I came in with no top teeth…what a transformation! Should have done it years ago. I went on a journey with Jo, Marianne, Jag and Calvin. I could not have asked for better people to have been with me. The … Read more
Uncategorised
Dr Paulo Malo visits! :-)
Professor Paulo Malo, the world renowned Pioneer of the “All-on-4” full mouth dental implants system, opening Dr Jag Shergills refurbished Dental Clinic in Marlborough Road, Coventry.

… Read more
Uncategorised
Thank you :-)
“HI would like to say a big thank you to Jag, Calvin and all the wonderful girls at this first class surgery. To think I started this journey in February as a very nervous patient. I have walked out of … Read more


… 














