Uncategorised
Overjoyed :-)
“I found the advert in the paper and having felt embarrassed at my usual dentist I felt the advert was exactly what I was looking for…… All the staff are extremely professional and friendly….. Jag was very good at advising … Read more
Uncategorised
Teeth in A Day
☺️TEETH IN A DAY ☺️
Another patient, another smile! 😁 Loving seeing this lovely gentleman’s reaction to his new smile! He is on top of the world! If you are considering dental implants or dental cosmetic treatment feel free … Read more
Uncategorised
Single tooth Implant
This gentleman came in with a damaged front tooth which we replaced with a single tooth implant. He came in delighted at his review appointment and gave us the patient quote of the day – “Jag you are the best … Read more
Uncategorised
Thank You!
“All I want for Christmas is my 2 front teeth.” This was my Christmas wish, (well 3 teeth actually), and my Santa Claus came in the guise of Dr Jag Shergill. I now own a dazzling smile that far out … Read more
Uncategorised
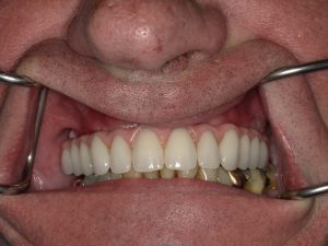
Upper Teeth In A Day :-)
Upper Teeth-In-A-Day. Patient had implants placed in the morning and lovely new teeth by the afternoon! ![]()
… Read more
Uncategorised
I have now had 3 implants…..
“I have now had three implants and, like many people I was a little anxious about the procedure. I can honestly say that my anxiety was unfounded. I could not have been in better hands. Jag and the nursing staff … Read more
Uncategorised
Are you embarrassed by your smile?
Are you embarrassed by your smile? Have you lost your confidence as a result of your tooth loss? Are you unable to eat the crunchy, healthy food you crave?
If you have experienced multiple or full loss of teeth, or … Read more
Uncategorised
Congratulations Jag!
Congratulations to Dr Jag Shergill our Principal on a successful seminar/lecture he gave last week to 10 local Dentists at his Birmingham Dental FX Clinic.
This was a lecture on the “All-on-4”, “Teeth in A Day” Full Mouth Implants.
Several … Read more
Uncategorised
…excellent customer care :-)
“I have just completed my implant treatment with Dr J Shergill ….. The treatment involved extractions and bone grafts and temporary denture. I have found Dr J Shergill and staff have excellent customer care and am very satisfied and pleased … Read more

… 








