Uncategorised
So delighted……………..
1st Picture taken at 9am, 2nd at 4pm! Using the All-on-4 system these are the temporary teeth that you leave with on the day. This patient was so delighted they decided to have the lower jaw restored the same way.
… Read moreUncategorised
My teeth were in a really poor state……
“My teeth were in a really poor state so I came in to see Jag for All-on-4, same day teeth. Jag and his team really made me feel at ease and on the day I felt no pain and it … Read more
Uncategorised
Absolutely fabulous care :-)
“Absolutely fabulous care all day with a competent skilled team….very well looked after all day. Thank you to the whole team” Carol
🙂… Read more
Uncategorised
Thank you :-)
Another lovely card that we received following a patients All-on-4 treatment
🙂
… Read more
Uncategorised
Being treated by Jag has been a positive experience throughout
“Being treated by Jag has been a positive experience throughout. The surgery did very well to accommodate my unusual schedule. Jag provided a personal, well planned guide to the service/process. He left me with confidence, explaining what was happening to … Read more
Uncategorised
Jag is a very good dentist :-)
“I have had an implant placed at Marlborough Road with Jag due to having lost my tooth, he is a very good dentist and very gentle with me. I just had my implant crown fitted 3 months later and I … Read more
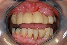
Uncategorised
Combination of Implants and Bridges :-)
Great result using a combination of implants and bridges. Call 024 76033101 or 024 76454350 for a FREE, no obligation consultation 🙂
… Read more
Uncategorised
I would like to say how pleased I am…
“I would like to say how pleased I am with the treatment I received by both Jag and his assistant…..made me feel at ease and let me know how things were going throughout…could not praise enough and would not hesitate … Read more
Uncategorised
FREE consultation! :-)
Book in for a FREE no obligation consultation by calling 024 76033101 or 024 76454350.
… Read more


… 








